Nuestros Proyectos
Únete a nuestro viaje para desentrañar los misterios del cáncer de páncreas a través de proyectos innovadores y colaboraciones multidisciplinarias.
Predictores clínicos y moleculares de larga supervivencia en cáncer de páncreas: un estudio multicéntrico y multidisciplinar (ALIPANC-LTS)
Investigadores principales: Florian Castet, Andrés Muñoz y Ana María Jiménez Gordo.
Centros implicados y entidades colaboradoras: Vall d’Hebron Institut d’Oncologia (VHIO), Hospital universitario Gregorio Marañón (HUGM) y Hospital Universitario Infanta Sofía (HUIS).
Objetivos: Estudiar las características epidemiológicas, clínicas y biológicas de pacientes largos supervivientes (LS) de adenocarcinoma de páncreas (ADP) comparándolos con un grupo de pacientes similares con una supervivencia más corta. Avanzar en el conocimiento de las características que han podido intervenir en su larga supervivencia.
Descripción del proyecto:
Partimos de la hipótesis que los pacientes largos supervivientes de ADP tienen características diferenciales que les confieren mejor pronóstico.
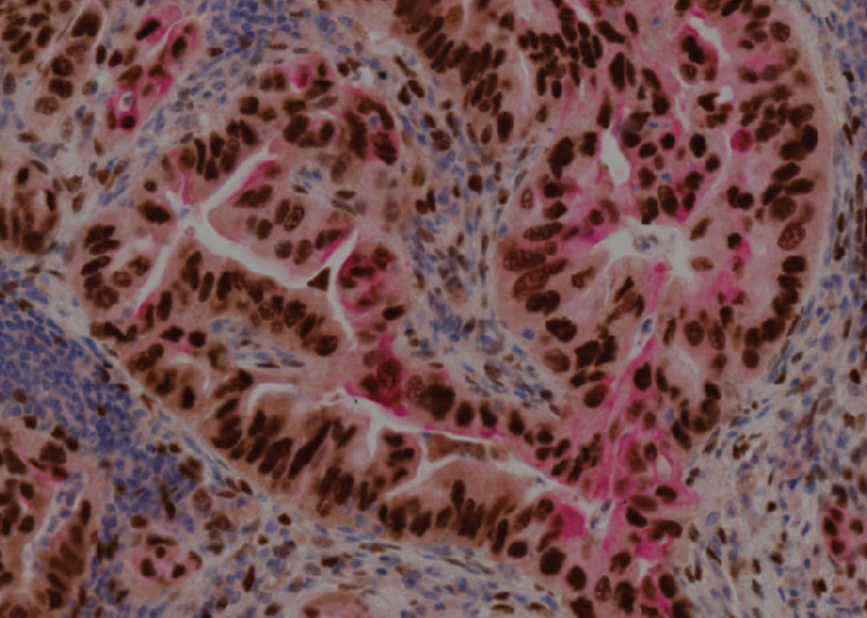
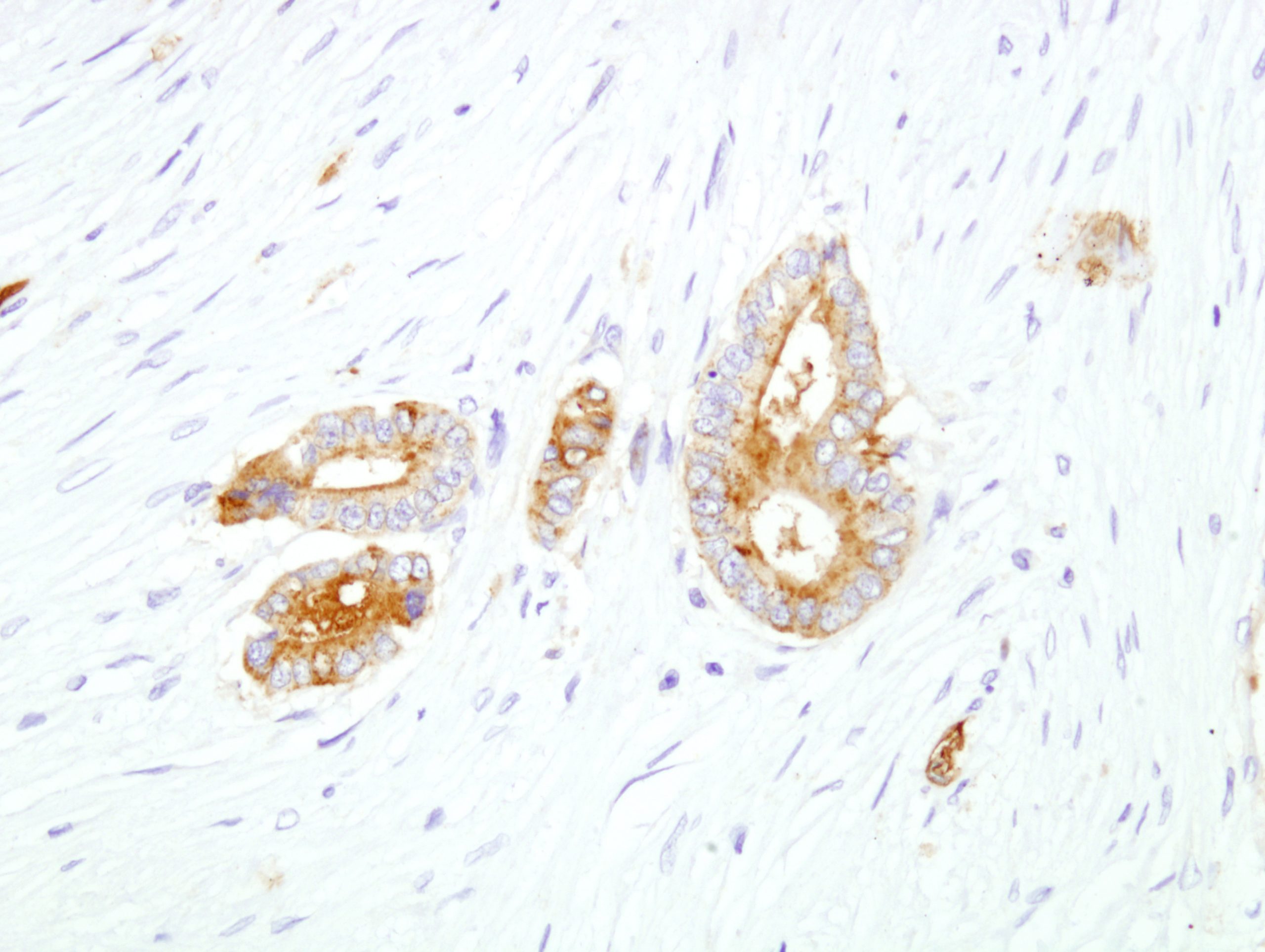
Se ha seleccionado una serie de pacientes LS de ADP que se analizarán de forma completa desde un punto de vista clínico y molecular. Se ha creado una base de datos clínicos y biobanco federado de muestras de pacientes LS. Se van a comparar con un grupo de similares características, pero con supervivencias más cortas. Se realizará en CNIO la determinación de GATA6, CKT5/6, S100A2 y p63 sobre TMAs de todos los pacientes para la identificación de laos subtipos moleculares y poder validar sus implicaciones clínicas y terapéuticas. Posteriormente se puedan realizar otros análisis en esta serie de pacientes para avanzar en nuestro conocimiento de la enfermedad.
Optimización del tratamiento adyuvante del cáncer de páncreas en función del subtipo molecular determinado por biomarcadores inmunohistoquímicos (Estudio OPTIPANC)
Investigadores principales: Jaime Feliu.
Centros implicados y entidades colaboradoras: Hospitales La Paz (H La Paz), Doce de Octubre, Puerta de Hierro, Hospital Clínico de Barcelona, Infanta Sofía, Gregorio Marañón (HUGM) y Centro Nacional de Investigaciones Oncológicas (CNIO).
Objetivos: El objetivo de este proyecto es determinar si la quimioterapia (QT) adyuvante, administrada en función del subtipo molecular, puede mejorar la supervivencia libre de enfermedad (SLE) y la supervivencia global (SG) de los pacientes operados de adenocarcinoma de páncreas (ADP). Se trata de un estudio retrospectivo, multicéntrico, en el que se incluirán 422 pacientes operados de ADP y tratados con QT adyuvante que dispongan de un seguimiento adecuado, datos clínicos y muestras de tumor. Se determinará el subtipo molecular mediante técnicas de inmunohistoquímica (IHQ) (GATA6, GATA4, E-cadherina y Citoqueratinas 5, 14 y 17). Posteriormente se correlacionará subtipo molecular con la SLE, la SG y con la QT administrada. Se incluirán 151 pacientes tratados con mFOLFIRINOX, 146 con Gemcitabina – Capecitabina y 125 con Gemcitabina.
Descripción del proyecto:
El único tratamiento curativo del adenocarcinoma de páncreas (ADP) es la cirugía, pero tras ella recaen el 80% de los pacientes. La quimioterapia (QT) adyuvante aumenta la supervivencia libre de enfermedad (SLE) y la supervivencia global (SG), pero a pesar de los avances recientes, todavía el 60% de los pacientes recaerán a los 3 años de la cirugía. Además, no existe ningún criterio establecido para seleccionar el tipo de QT más allá del ECOG PS.
Recientemente se han propuesto diversas clasificaciones moleculares en el ADP, pero todas ellas reconocen dos subtipos moleculares: el clásico y el basal-like, con una sensibilidad diferente a la QT: mientras primero respondería mejor al mFOLFIRINOX, el segundo lo haría a la gemcitabina.
Los resultados permitirán optimizar el tratamiento adyuvante, mejorando así la supervivencia y aumentando la proporción de largos supervivientes.
Este proyecto cuenta con la participación de los hospitales La Paz, Doce de Octubre, Puerta de Hierro, Clínico de Barcelona, Infanta Sofía, Princesa, Gregorio Marañón y del CNIO.

Estudio de nuevos fármacos y desarrollo de aproximaciones inmunoterapéuticas para el tratamiento del PDAC
Investigadores principales: África González Fernández y Rosana Simón Vázquez
Centros implicados y entidades colaboradoras: Laboratorio de Inmunología-Centro de Investigación en Nanomateriales y Biomedicina (CINBIO), Universitat de Girona, Centro Nacional de Investigaciones Oncológicas (CNIO), Red Nacional de Inmunoterapia del cáncer (REINCA), Red Nacional de terapias avanzadas (TERAV+).
Objetivos: Diseño de lipoplexos para el silenciamiento génico de factores de transcripción implicados en rutas para la proliferación y resistencia del cáncer pancreático, desarrollar anticuerpos monoclonales y diseño de inmunoterapia basada en células CAR-T.
Se solicita colaboraciones con grupos que trabajen en el desarrollo de nuevas terapias o fármacos, con experiencia en el desarrollo de modelos tumorales avanzados, el sistema CRISPR/Cas y el uso de vectores víricos.
Descripción del proyecto:
Experiencia que se ofrece. En nuestro grupo hemos desarrollado:
- Diseño de lipoplexos para el silenciamiento génico de factores de transcripción implicados en rutas relevantes para la proliferación y la resistencia del cáncer pancreático, utilizando siRNA.
- Desarrollo de anticuerpos monoclonales a partir de hibridomas.
- Diseño de inmunoterapia basada en células CAR-T (en proceso de ser patentada).
- Hemos testados varios inhibidores epigenéticos desarrollados por nuestros colaboradores en el CINBIO en animales y en organoides derivados de pacientes.
- Experiencia en el desarrollo de organoides derivados de ratones y humanos. Colaboramos con el Biobanco del Hospital Álvaro Cunqueiro de Vigo para desarrolar organoides a partir de biopsias/tumores de pacientes con cáncer de estómago, pulmón o pancreático.
Colaboraciones solicitadas:
- Grupos que trabajen en el desarrollo de nuevas terapias o fármacos.
- Grupos con experiencia en el desarrollo de modelos tumorales avanzados.
- Experiencia en el sistema CRISPR/Cas y en el uso de vectores víricos.
Financiación actual:
- Proyecto AES convocatoria 2024.
- Proyecto Merck.
- POPTEP IBEROS +
Plan de financiación futura:
solicitud de financiación a través de fundaciones (Caixa, BBVA…), empresas y organismos públicos nacionales y europeos.
Colaboraciones actuales:
- Rosa Peracaula y Esther Llop. Grupo de Bioquímica del Cáncer, Universidad de Girona. Papel de los sialoglicanos en el cáncer de páncreas.
- Carmen Guerra, CNIO.
- Participamos en la red nacional REINCA (red de inmunoterapia del cáncer)
- Participamos en la red nacional TERAV+ (red de terapias avanzadas)
PanGen-Asma y Guide
Investigadores principales: Evangelina López de Marutana y Núria Malats.
Centros implicados y entidades colaboradoras: Grupo de Epidemiología Genética y Molecular (GMEG)- Centro Nacional de Investigaciones Oncológicas (CNIO).
Objetivos: Es un estudio observacional que tiene por objetivo explorar las asociaciones entre datos ómicos (1) genómicos a nivel germinal, 2) metilación de DNA de leucocitos de sangre circulante, 3) microbioma oral, fecal y tumoral, 4) metaboloma en orina, suero y heces, y 5) transcriptoma del tumor), y no ómicos, que incluyen datos epidemiológicos, biomarcadores como IgEs o ratios entre neutrófilos y eosinófilo, para arrojar luz a la relación entre asma y alergias y riesgo de cáncer de páncreas.
Descripción del proyecto:
Estudio epidemiológico financiado por el Fondo de Investigación Sanitaria (PI21/00495) en el marco del proyecto ‘Descifrando la relación compleja entre asma/alergia y riesgo de cáncer de páncreas’ y cuyas investigadoras principales son las Dras. Núria Malats Riera (líder) y Evangelina López de Maturana López de Lacalle (investigadora) del grupo de Epidemiología Genética y Molecular del CNIO.

Validación de AXL como biomarcador para la detección de cáncer de páncreas
Investigadores principales: Pilar Navarro y Neus Martínez-Bosch
Centros implicados y entidades colaboradoras: Hospital del Mar de Investigaciones médicas (IMIM), Instituto de investigaciones biomédicas- Centro Superior de Investigaciones Científicas (IIBB-CSIC), Universidad Santiago de Compostela, Universidad de Zaragoza, Institut d’Investigació Biomèdica de Girona Dr. Josep Trueta (UdG), Vall d’Hebron Institute of Oncology (VHIO).
Objetivos:
Nuestro objetivo actual es generar un método preciso basado en AXL para diagnosticar el cáncer de páncreas de forma temprana.
Descripción del estudio: en primer lugar, validaremos el uso de sAXL como biomarcardor en sangre extendiendo el análisis a un amplio número de muestras (≥500), mediante un estudio retroprospectivo multicéntrico, con la finalidad de reforzar los resultados y establecer un “cut-off” preciso para trasladar la determinación de sAXL en plasma mediante ELISA como test de diagnóstico en la práctica clínica. Además, en paralelo nos proponemos producir un test serológico basado en LFIA para optimizar el uso diagnóstico descentralizado en pacientes de riesgo. Teniendo en cuenta la poca invasividad (analítica en sangre) y la sencillez y bajo coste de estos tests consideramos que este proyecto tiene un alto potencial en el ámbito clínico del cáncer de páncreas.
Descripción del proyecto:
El cáncer de páncreas es uno de los tumores más agresivos, siendo la tercera causa de muerte por cáncer. Uno de los motivos para este pésimo escenario es el diagnóstico tardío: el 80% de los pacientes son diagnosticados cuando el tumor se ha extendido y no es operable, siendo altamente refractario a las terapias disponibles. Conviene recalcar que la supervivencia a 5 años de pacientes con tumores resecables es >40% mientras que la de aquellos con tumores metastásicos es <5%. Por tanto, la identificación de biomarcadores tempranos es esencial para mejorar la supervivencia. Nuestro equipo ha identificado recientemente la detección de sAXL en plasma como un biomarcador para la detección del cáncer de páncreas (Martínez-Bosch et al, eBioMed 2022), observándose el incremento de sAXL desde estadios iniciales de la enfermedad. Además, la combinación de sAXL con el único marcador hasta ahora aprobado para este tumor, CA19-9, consigue una alta sensibilidad y especificidad. Estos resultados demuestran que sAXL puede ser un prometedor nuevo biomarcador para la detección precoz de cáncer de páncreas y que su uso combinado con CA19-9 podría ser un test diagnóstico para uso clínico.
Este proyecto se ha podido llevar a cabo en parte gracias a la concesión de la ayuda Carmen Delgado/Miguel Pérez-Mateo para la Investigación del Cáncer de Páncreas, convocada por la Asociación Cáncer de Páncreas (ACANPAN), la Asociación Española de Pancreatología (AESPANC) y la Asociación Española de Gastroenterología (AEG). Los fondos de las Becas son obtenidos gracias a todos los participantes de la Carrera de las Ciudades contra el cáncer de páncreas.
Agradecemos enormemente a todos los grupos de ALIPANC que han contribuido y mostrado interés en el proyecto contado con colaboradores desde la Universidad Santiago de Compostela, Universidad de Zaragoza, Institut d’Investigació Biomèdica de Girona Dr. Josep Trueta, Universitat de Girona, Vall d’Hebron Institute of Oncology (VHIO), Institut d’Investigació en Ciències de la Salut Germans Trias i Pujol, Instituto de Investigación Biomédica de Salamanca, Hospital Universitario La Paz, Instituto Ramón y Cajal de Investigación Sanitaria, Hospital Universitario Puerta de Hierro Majadahonda, Instituto de Investigación Sanitaria y Biomédica de Alicante e Instituto de Investigación Sanitaria Valencia.

Guide.MRD
Investigadores principales: IHI JU (European Union)
Centros implicados y entidades colaboradoras: IHI JU, Centro Nacional de Investigaciones Oncológicas (CNIO).
Objetivos: Se trata de un Proyecto de oncología de precisión que busca mejorar la utilidad y la implementación clínica del ADN de tumor circulante (ctDNA) como biomarcador de enfermedad mínima residual para predecir respuesta clínica y que permita elegir la terapia multimodal más adecuada para pacientes con tumores sólidos malignos como el de colón, pulmón y páncreas.
Descripción del proyecto:
Proyecto internacional financiado por la Innovative Health Initiative Joint Undertaken (No 101112066), cuyos participantes proceden de los sectores de la academia (entre ellos el CNIO), tecnología médica, farmacéutica, así como organizaciones de defensa del paciente (Homepage – GUIDE.MRD).